Tratamientos de Ortopedia y Ortodoncia
Descubre tratamientos avanzados de ortodoncia y ortopedia con los mejores dentistas en Los Ángeles.
Te Ayudamos a Sonreír
La revolución en la ortodoncia moderna
iTero es un escáner digital avanzado que reemplaza los métodos tradicionales de moldes dentales. En lugar de utilizar masas incómodas para obtener impresiones, el iTero captura imágenes en 3D de la boca del paciente en tiempo real, ofreciendo una experiencia mucho más cómoda y rápida.
Transforma tu sonrisa con Ortodoncia y recupera la belleza de tus dientes
Nuestro servicio de ortodoncia brinda una experiencia de transformación dental única. Mediante el uso de avanzadas técnicas y tratamientos personalizados, trabajamos para corregir la posición y estética de tus dientes. No importa si tienes problemas de alineación, maloclusión o espacios entre tus dientes. Te ayudaremos a obtener la sonrisa radiante que siempre has deseado. ¡Descubre cómo nuestra ortodoncia activa puede transformar tu vida dental hoy mismo!
Tratamiento de Brackets
En nuestra Clínica Dental en los Ángeles realizamos tratamiento de ortodoncia convencional metálica y ortodoncia estética cerámica. Elige elásticos con tus colores favoritos!
Brackets metálicos
El tratamiento de brackets metálicos es una opción altamente efectiva para corregir la alineación dental. Estos pequeños dispositivos metálicos se colocan en la superficie de los dientes y se conectan mediante un arco de alambre, permitiendo aplicar la presión necesaria para mover gradualmente los dientes hacia su posición ideal. Con nuestros especialistas en ortodoncia, recibirás un tratamiento personalizado y cuidadoso que garantiza resultados sorprendentes. Además, los brackets metálicos son duraderos y asequibles, lo que los convierte en una opción popular para muchos pacientes.
Ver más información >
Brackets cerámicos
Los brackets cerámicos son una opción altamente estética para corregir la posición dental. Estos brackets están fabricados con material de cerámica transparente, lo que los hace prácticamente invisibles a simple vista. Durante el tratamiento, los brackets se colocan en la superficie frontal de los dientes y se conectan con alambres de alta tecnología. Esto permite ejercer presión suave y constante, moviendo gradualmente los dientes a su posición deseada. A medida que avanza el tratamiento, se realizan ajustes periódicos para garantizar resultados óptimos. Los brackets cerámicos son una excelente alternativa para aquellos que desean una apariencia discreta mientras transforman su sonrisa.
Brackets de Zafiro
El tratamiento de brackets de zafiro es una opción altamente efectiva y estética para corregir la posición de tus dientes. Estos brackets están fabricados con material de zafiro transparente, lo que los hace prácticamente invisibles. Además, su resistencia a las manchas los convierte en una elección popular para aquellos que desean un aspecto discreto durante su tratamiento de ortodoncia. Con los brackets de zafiro, podrás disfrutar de una sonrisa más alineada y atractiva en menos tiempo que con otros métodos convencionales. No importa cuál sea la complejidad de tu caso, nuestros especialistas en ortodoncia te brindarán un tratamiento personalizado y de calidad que te acercará cada vez más a la sonrisa de tus sueños. ¡Empieza hoy mismo tu viaje hacia una sonrisa radiante con los brackets de zafiro!
Brackets Autoligantes
Los brackets autoligantes son una opción revolucionaria para corregir la posición de tus dientes de manera eficiente y cómoda. Estos innovadores dispositivos, que no requieren ligaduras elásticas, permiten un movimiento dental más rápido y preciso. Además, los brackets autoligantes ofrecen ventajas estéticas, ya que su diseño discreto y de baja fricción minimiza el impacto visual. En comparación con los brackets tradicionales, los autoligantes reducen las citas de ajuste y el tiempo total del tratamiento. Con esta opción avanzada, podrás disfrutar de una sonrisa alineada y radiante en menos tiempo. ¡Descubre los beneficios de los brackets autoligantes y transforma tu sonrisa hoy mismo!
Ortopedia
Los tratamientos de ortopedia son una solución efectiva para corregir problemas de alineación dental. Mediante técnicas avanzadas y personalizadas, nuestro equipo de expertos ortopedistas trabaja con precisión para corregir la posición de tus dientes y lograr una sonrisa radiante. Desde la evaluación inicial hasta el seguimiento continuo, nuestro enfoque integral garantiza resultados excepcionales. Además, utilizamos tecnología de vanguardia y materiales de alta calidad para optimizar el proceso y asegurar tu comodidad.
Ver más información >
Ortodoncia Invisible
La ortodoncia Invisalign es un revolucionario sistema de alineadores transparentes que brinda una alternativa estética y cómoda a los tradicionales brackets metálicos. Utilizando tecnología avanzada, estos alineadores personalizados se ajustan perfectamente a los dientes y aplican una presión suave para corregir problemas de maloclusión y alineación dental. Además de ser prácticamente invisibles, los alineadores de Invisalign son removibles, lo que facilita la higiene bucal y permite disfrutar de comidas sin restricciones. Con cada cambio de alineador, se va logrando progresivamente una sonrisa más alineada y armoniosa. Con Invisalign, puedes obtener los resultados deseados de manera discreta y confortable, sin interrumpir tu estilo de vida.
Ver más información >
Plano de relajación
El tratamiento de plano de relajación es una solución efectiva para aliviar los síntomas de la disfunción temporomandibular (DTM). Consiste en el uso de un dispositivo oral personalizado, diseñado para reducir la tensión en los músculos de la mandíbula y alinear adecuadamente la articulación temporomandibular. Este tratamiento, además de ser no invasivo, brinda alivio inmediato y promueve la relajación muscular. Con el plano de relajación, podrás disfrutar de una mejora significativa en la funcionalidad y el confort de tu mandíbula.
Ver más información >
Limpieza dental
Nuestro tratamiento de limpieza dental es esencial para mantener una salud bucal óptima. Con nuestra avanzada tecnología y el cuidado experto de nuestros higienistas dentales, eliminamos de manera efectiva la placa y el sarro acumulados, brindando una limpieza profunda y completa. Además, utilizamos técnicas de pulido que dejan tus dientes suaves y brillantes. Durante el procedimiento, también realizamos una evaluación exhaustiva de tu salud oral, identificando posibles problemas tempranos y brindándote recomendaciones personalizadas. No solo te irás con una sonrisa más fresca y saludable, sino también con la tranquilidad de saber que estás cuidando adecuadamente tu boca.
Ver más información >
Clínica Dental Los Ángeles
Consigue resultados con ortodoncia
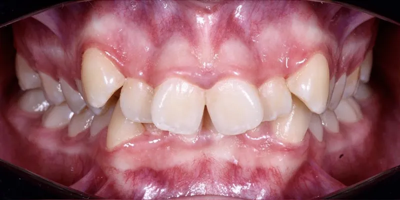
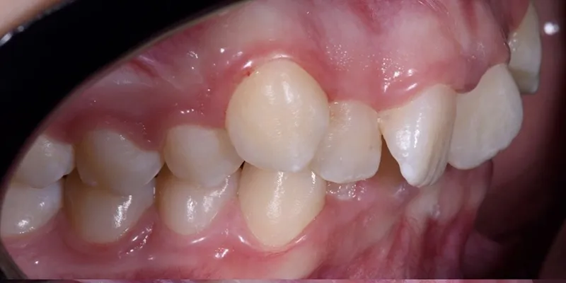
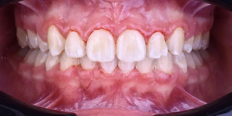
Desplaza la barra vertical y mira el “Antes y después” de algunos de los casos complejos que hemos resuelto. Corregimos todos los problemas de posición de tus dientes. Diseñamos sonrisas con ortodoncia y ortopedia.


Especialista en Ortodoncia y Ortopedia BMF.
Inicie su tratamiento de ortodoncia con una especialista de alto nivel.
- 2014 Cirujana dentista, con mención en adulto mayor y senescente UFT
- 2015 Curso de rejuvenecimiento facial en ODONTOESTOMATOLOGIA, Asocher
- 2015 Diplomado en Ortodoncia: “Diagnostico en la Filosofía del Dr. Roth” UFT
- 2015 Diplomado en Humanización en salud, FUNIBER, España.
- 2016- 2019 Postgrado en Ortodoncia y Ortopedia Maxilar, Facultad de Odontología de la Universidad de Buenos Aires (titulada con distinción máxima)
- 2018 Invisalign Training Course para latinoamerica
- 2020 acreditación para el sistema de alineadores invisibles KeepSmiling
- 2021 diplomado en Finanzas para Odontólogos
- 2023 “Curso de la A a la Z” en técnica de alineadores invisibles, junto con pasantía personalizada con la Dra. María José Riveros y Mónica Botero, Colombia
- 2023 Julio – Diciembre Aligner Insight Master en alineadores invisibles, con el Dr. Tomas Salazar.
Pacientes felices en nuestra Clínica Dental en los Ángeles
Estamos en el Edificio Alta Frontera
Jose Manso De Velasco 366, Oficina 803 | Los Ángeles
En tu primera visita diseñaremos tu tratamiento 100% personalizado, donde podrás ver las diferentes alternativas de tiempo y costo.