La placa bacteriana es un término que muchos escuchan en las consultas dentales, pero pocos entienden completamente. En nuestra clínica dental en Los Ángeles realizamos procedimientos de limpieza dental con mucho éxito, por eso aquí te explicamos en detalle qué es la placa bacteriana, cómo se forma, y por qué es crucial mantenerla bajo control para una buena salud bucal.
¿Qué es la Placa bacteriana?
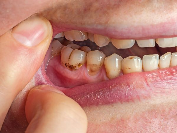
La placa bacteriana es una película pegajosa y incolora que se forma constantemente sobre los dientes. Esta sustancia está compuesta por bacterias, restos de alimentos y saliva. Con el tiempo, la placa puede endurecerse y convertirse en sarro, lo que dificulta su eliminación.

Formación de la placa bacteriana
El proceso de formación de la placa bacteriana comienza poco después de comer. Los carbohidratos de los alimentos se combinan con las bacterias en la boca para producir ácidos. Estos ácidos pueden atacar el esmalte dental, lo que eventualmente puede conducir a la formación de caries.
- Inmediatamente después de comer: Las bacterias comienzan a formar una película sobre los dientes.
- 24 horas después: La película se vuelve más espesa y se convierte en una capa pegajosa conocida como placa.
- 72 horas después: Si no se elimina, la placa puede empezar a endurecerse y convertirse en sarro.
Factores que contribuyen a la formación de placa
Varios factores pueden acelerar la formación de placa bacteriana, entre ellos:
- Dieta alta en azúcares y carbohidratos: Los alimentos y bebidas azucaradas son un caldo de cultivo para las bacterias.
- Higiene bucal deficiente: No cepillarse ni usar hilo dental adecuadamente permite que la placa se acumule.
- Falta de visitas al dentista: Las limpiezas profesionales eliminan la placa y el sarro que no se pueden eliminar con el cepillado regular.

Efectos de la placa en la salud bucal
La placa bacteriana no solo es antiestética, sino que también puede tener graves consecuencias para la salud bucal. Entre los problemas más comunes causados por la placa se incluyen:
Caries Dentales
Las bacterias en la placa producen ácidos que desmineralizan el esmalte dental, creando cavidades. Las caries son el resultado directo de la acumulación de placa que no se elimina de manera efectiva.
Enfermedad de las Encías
La gingivitis es una inflamación de las encías causada por la acumulación de placa alrededor de los dientes. Si no se trata, la gingivitis puede evolucionar a periodontitis, una condición más grave que puede resultar en la pérdida de dientes.
Mal Aliento
La placa bacteriana también es una de las principales causas del mal aliento. Las bacterias liberan compuestos sulfurados que producen un olor desagradable.

Cómo prevenir la placa bacteriana
Prevenir la placa bacteriana es esencial para mantener una buena salud bucal. Aquí te ofrecemos algunos consejos prácticos:
Cepillado Regular
Cepíllate los dientes al menos dos veces al día con una pasta dental con flúor. Asegúrate de cepillar todas las superficies de los dientes, incluyendo las áreas difíciles de alcanzar.
Uso de Hilo Dental
El uso diario de hilo dental ayuda a eliminar la placa y los restos de alimentos entre los dientes y debajo de la línea de las encías, áreas donde el cepillo no puede alcanzar.

Enjuague Bucal
Un enjuague bucal antibacteriano puede ayudar a reducir las bacterias que causan la placa y el mal aliento. Utiliza un enjuague recomendado por tu dentista.
Dieta Saludable
Limita el consumo de alimentos y bebidas azucaradas. Opta por una dieta equilibrada que incluya frutas, verduras, proteínas magras y productos lácteos bajos en grasa.

Visitas Regulares al Dentista
Visita a tu dentista regularmente para limpiezas profesionales y exámenes. Tu dentista puede identificar y tratar problemas antes de que se vuelvan serios.
La placa bacteriana es una amenaza constante para la salud bucal, pero con una buena higiene dental y hábitos alimenticios saludables, se puede controlar efectivamente. Mantén una rutina de cuidado dental adecuada y consulta a tu dentista regularmente para mantener tus dientes y encías en óptimas condiciones.



